59岁的Belle,走路无力、脖子痛,
一度考虑为颈椎病,后检查发现竟是
下脑干枕骨大孔区
长了鸡蛋大小的脑膜瘤,
肿瘤占据了90%以上的可用空间,
且肿瘤附近血运非常丰富,
包裹重要血管椎动脉,
严重压迫脑干延髓,
几乎堵住第四脑室,
病情危急,如果肿瘤持续压迫脑干,
或者手术稍有不慎,
随时可能呼吸心跳停止死亡。

医学上将枕骨大孔区肿瘤称为
颅底肿瘤当中的“难中之难”
而脑干更是“生命禁区”,
要在“生命禁区”附近动刀,
无疑是在刀尖上“跳舞”。
INC德国巴特朗菲教授从容应对,
妙手“拆炸弹”,不仅守护了患者的生命,
更是保障了患者长期的生活质量。

图:INC巴特朗菲教授导师Seeger教授手绘枕骨大孔区
Belle用“有滋有味”来描述她的生活。和丈夫定居在新加坡,婚姻幸福,家庭美满,拥有一家建筑和房地产企业,一对子女均从国外留学归来。他们一起经营着自己的公司,共同期许着即将到来的美好晚年生活,从未想到Belle会遭遇脑瘤这个“恶魔”。
“生活虽然有些忙碌,但是一切都是朝着计划的方向前进”,Belle一直反思自己的病程为何严重到今天这个地步。“唯一挥之不去的健康问题是持续一年多的颈部疼痛。”颈部疼痛,身边很多人都有这个小毛病,加上年纪也大了,且常规体检也未发现严重问题。因此,Belle一直把它当做是“颈椎病”,进行颈部按摩以及针灸治疗。每次理疗之后症状虽然不能完全缓解,但是脖子会舒服很多,这样持续了一年多。
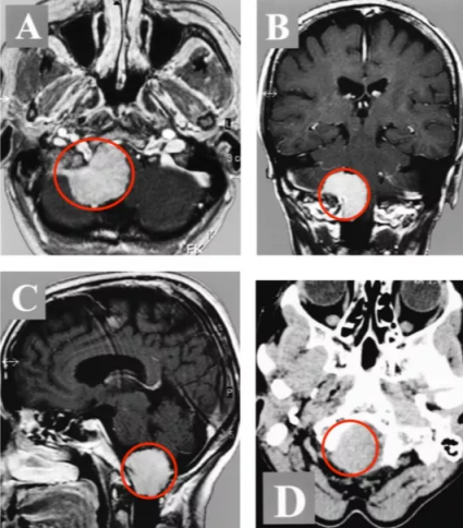
一年后的一个晚上,当Belle出现走路乏力、双脚抬不起来时,一切都变了。她差点摔倒在地,但幸运的是,家人在她摔倒前抓住了她。他们开始意识到这病没那么简单,不查不知道,一查吓一跳,最终发现原来引起上述症状的罪魁祸首不是什么颈椎病,而是在枕骨大孔区区长了一个肿瘤-脑膜瘤(图1)。虽然脑膜瘤90%以上都是良性肿瘤,但其生长的部位实在是太要命了,肿瘤位于下脑干枕骨大孔区,并严重压迫和推挤脑干延髓。加上肿瘤发现的太晚了,体积巨大,导致下脑干在枕骨大孔处被最大限度地压缩,肿瘤占据了90%以上的可用空间。

图1:术前MR显示枕骨大孔区巨大脑膜瘤,压迫脑干、颈髓。
枕骨大孔脑膜瘤早期为什么易误诊?枕骨大孔区脑膜瘤患者初始症状不明显,患者多出现颈枕部的疼痛,颈部活动或者咳嗽等用力动作时均可诱发或加重症状,临床上常与颈椎病等相混淆。而且其症状表现多样,且大多数患者当肿瘤体积发展较大时才出现较重的临床表现,故早期常被误诊或漏诊。在Belle的病史中,她不曾重视的颈椎疼痛或许就是脑瘤的早期症状。大意使Belle失去了早期诊断脑膜瘤的机会。
充满挑战的枕骨大孔区手术,找到一线希望
Belle被告知,需要进行开颅手术来切除肿瘤。医生直言不讳地描述了肿瘤手术的复杂性。枕大孔区肿瘤由于病变位置深在,临近脑干、颈髓、椎动脉、后组颅神经等重要组织、血管、神经结构,是生命中枢所在,血运非常丰富,术前随时可能呼吸心跳停止死亡,死神随时会来敲门。而术中任何一个微小的闪失都有可能使患者非死即残。故位于该区,特别是脑干腹侧肿瘤的治疗一直是神经外科医生面临的挑战之一。听到这样一番话后,她哭着和丈夫拥抱在一起。面面相觑后,他们知道这不是他们想要找的医生。

图:枕骨大孔区周边的重要颅神经及血管解剖。
该区域手术旨在不损害病人远期生活质量的前提下尽量做到全切除肿瘤。手术难度大,风险高,需要手术医师具有丰富神经外科解剖知识、娴熟的手术技巧及丰富的手术经验。所幸,医生朋友为她推荐了INC世界神经外科顾问团WANG成员、世界神经外科联合会WFNS主席巴特朗菲教授,其在脑干肿瘤、颅底手术等领域的实力享誉全世界,通过INC远程咨询巴教授后,得知可以随时安排入院为其进行安全全切手术。Belle一家人重新看到了希望,如果手术成功,那么这就是“新生”,一家人随即飞往德国。
巴教授采取了左侧卧位远外侧入路全切肿瘤,让Belle置于左侧侧位,头部轻微弯曲并旋转到右侧。手术术中应用躯体感觉和听觉诱发电位的连续监测。枕下旁侧骨瓣开颅延伸至远侧乙状窦、C1半椎板切除术,枕骨大孔的背外侧边缘逐渐被魔钻磨除,术中并对脑干和脊髓进行了精心保护。

术中及肿瘤切除后的硬膜内部位

手术切口及手术时病人的位置

术后CT和MR,显示肿瘤及其被肿瘤侵犯的骨质都切除,肿瘤全切,Simpson一级切除。

术后Belle没有新发神经功能缺损,在术后第二天开始肢体活动,进行康复。虽然仍有轻微的颈部疼痛,但是很快就好转、消失。幸运的是,没有出现任何相关手术并发症,特别是没有脑脊液漏出或脊柱不稳定。术后计算机断层扫描(CT)和磁共振成像(MRI)分别显示了部分骨切除和肿瘤全切,术后伤口美观,也没有剃除全部头发。由于肿瘤全切,Belle未行放化疗,术后12年未见复发。
INC旗下世界神经外科顾问团成员教授、世界神经外科联合会WFNS教育委员会主席德国Helmut Bertalanffy(巴特朗菲,国内患者称“巴教授”)对于枕骨大孔区脑膜瘤这类的疑难脑瘤全切手术极为擅长,他曾为众多疑难病患详细答疑解惑,提供安全的手术切除和术后治疗建议,基于病人病情、期望及综合条件等为他们指明了后续的治疗方向。对于枕骨大孔区脑膜瘤,他曾在学术会议上分享其成功手术经验和治疗案例。主要包括枕骨大孔区脑膜瘤的解剖结构、手术策略、成功案例剖析,其中79.7%完全切除,没有颅脊不稳、死亡等并发症。
枕骨大孔区脑膜瘤的治疗以外科手术为常用。考虑到肿瘤体积较小时,手术操作空间相对更小,而且该区域的手术术后出现神经功能的并发症往往较为严重,对于一些无症状的或者老年伴有轻微症状的患者,有学者建议可保守观察或行伽马刀或者射波刀放疗。
手术方式的选择一直是神经外科医生长期以来争论的焦点,目前临床较为常用的就是远外侧入路和枕下后正中入路,根据肿瘤的分型,位于背侧的肿瘤通常选用后正中入路,位于延髓前方或者侧方的肿瘤,较为普遍接受的是使用远外侧入路,近年来也有学者提出使用后正中入路也可以安全有效的进行腹侧及腹外侧枕骨大孔区脑膜瘤的切除。手术入路的选择依赖于肿瘤的分型,肿瘤的分型临床中常主要以肿瘤部位以及与椎动脉的关系为参考。
枕下后正中入路:枕下后正中入路选择垂直的中线切口,切口长度足够肿瘤暴露,必要时可行枕部颅骨切除以及必要的寰枢椎椎板切除,该入路一般不涉及椎动脉的显露,相对简单,解剖结构对于神经外科医生而言相对熟悉,且组织解剖的损伤相对较小,能够获得直视下视野。
远外侧入路:位于脑干腹侧面及腹外侧面的枕骨大孔区脑膜瘤,远外侧入路能够更好地的提供手术视野,更好地进行后组颅神经、脑干及椎动脉的显露。目前较常使用的切口可分为直切口,“S”型切口、倒“L”,型切口、倒“U”型切口等。枕下肌肉共分为三层,深层的肌肉构成枕下三角,椎动脉从此穿过,远外侧入路涉及枕鳞,乳突、枕髁、颈静脉结节、舌下神经管、寰椎后弓、枢椎棘突和椎板等骨质结构,为了更好地显露前方及侧方的肿瘤,我们往往需要摩擦骨质结构避免牵拉脑干获得足够术野,一般术中常规咬除肿瘤侧寰椎后弓1-1.5cm,找到椎动脉走形方向,必要时进行牵拉,椎动脉的移位可以给枕骨大孔区脑膜瘤提供必要的手术视野。
对于枕髁的磨除与否及磨除多少以及其颅颈区域稳定性的话题一直都有争议,一直是多年来神经外科医生探讨的焦点。对于腹侧面肿瘤,根据肿瘤的暴露情况及椎动脉的走形,根据需要磨除部分枕髁,磨除枕髁可获得更大的水平暴露距离同时降低手术深度。有学者提出切除范围大于50%时会造成颅颈失稳,需行枕颈融合手术。最近研究显示“关节保留”的枕髁切除大于75%才会影响到颅颈稳定。合适的入路选择以及扎实的解剖基础、娴熟的显微神经外科技术是手术成功的必要保证。
下一篇:没有了