激光间质热治疗(LITT)是一种微创手术,利用激光的非电离辐射对组织产生热效应,导致细胞死亡。随着激光和成像技术的进步,LITT在颅内疾病的治疗中越来越受欢迎,包括儿童神经肿瘤和癫痫。虽然LITT在20世纪90年代首次用于治疗脑肿瘤,但LITT在儿童脑肿瘤中的首次报道要追溯到2011年,当时治疗了一名10岁儿童幕上原始神经外胚层肿瘤。从那时起,这种方式已被用于治疗各种其他儿童肿瘤特异性病理,包括室管膜下巨细胞星形细胞瘤、毛细胞星形细胞瘤、室管膜瘤、成神经管细胞瘤、脉络膜丛黄色肉芽肿和神经节胶质瘤,除了致癫痫灶,如下丘脑错构瘤(HHs)和皮质结节。LITT通过其微创性、治疗有效性,缩短住院时间,减少并发症,减少放疗或化疗需求,最大限度地减少对儿童生活的心理社会影响,在治疗儿童患者方面具有优势。

虽然LITT是一种微创手术,但有文献报道并发症。这些问题包括出血、感染、神经功能缺损、水肿和技术问题,这些问题在其他神经外科手术中也很常见。由于它的应用相对较新,还没有强有力的研究调查它对儿科人群的影响为了深入了解LITT在儿童群体中的应用,下文系统地回顾了文献,总结了LITT在儿童颅内病变治疗中的当前应用和安全概况。
根据PRISMA指南,研究人员进行了系统的综述,总结了目前LITT在儿科的应用和安全概况。在PubMed和Embase中搜索报道小于21岁患者LITT治疗结果的相关研究。涵盖了35项研究中的303例儿童LITT手术。男性约占总体样本的60%,平均年龄为10.5岁(范围为0.5-21岁)。使用的LITT技术包括Visualase(89%)、NeuroBlate(9%)和Multilase 2100(2%)。最常见的适应症是治疗癫痫(86%),其次是脑瘤(16%)(见表1)。平均随访时间为15.6个月(1.3-48个月)。总的并发症发生率为15.8%,包括短暂的神经功能缺损、认知和电解质紊乱、出血、水肿和脑积水(见表2)。没有死亡报告。研究发现:到目前为止,LITT在儿科最常见的应用集中在治疗药物难治性癫痫和难以切除的脑肿瘤。LITT的安全性可以为儿科人群提供一种有吸引力的脑外科手术替代方案。

表1:儿童患者LITT的适应症和并发症报告部分截图
1.适用范围广,LITT是一种新颖的微创手术,已经改变了各种颅内病变的治疗。目前的LITT系统允许外科医生有选择地消融大脑中的肿瘤和病变,包括恶性胶质瘤、耐放射外科转移瘤、致痫灶病变和放射坏死,这些以前可能被认为无法手术、难以到达,或者是由于它们在功能区或附近的位置进行切除是不安全的。
2.手术和恢复时间更短,LITT的微创性为开放式手术提供了重要的优势,尤其是在儿科人群中。消融过程仅需几分钟,大多数患者术后第二天就能回家,并迅速恢复正常活动。相较于传统手术治疗和恢复时间优势明显。术后,该手术不仅降低了感染的风险,而且还显著缩短了康复时间和住院时间。减少住院时间对于尽量减少心理影响和对儿童生活的干扰具有重要意义。
3、安全、可重复使用,由于其缺乏电离辐射暴露,在进展的情况下,LITT可以重复。LITT还可以减少对其他形式治疗的需要,如放疗或化疗,从而消除其他潜在的副作用风险。
4、微创技术意味着并发症更少,这种手术只需要一个小孔和缝合,减少了伤口并发症的风险,避免了剃发,从而最大限度地减少了儿童的外观变化。
5、MRI技术全程引导,手术过程清晰直观,精准定位病灶、避免伤害周围健康组织。LITT能够通过MRI测温、离散病灶边缘实时可视化消融,并在激光能量传递过程中立即有效和控制。瞬时反馈允许立即确认立体定向轨迹,严格控制消融体积,并在大脑深处进行操作,以准确估计热损伤。
尽管LITT是一种微创手术,但并发症仍在普通人群中发生,在一项全国性研究中,并发症发生率为12.9%,死亡率为2.5%。神经功能缺损是LITT术后最常见的并发症,通常是LITT高热和消融后水肿的直接结果。在上述研究中,报告了9例局灶性神经功能缺损,其中偏瘫和视野缺损最为常见。其他神经系统并发症包括9例认知障碍报告和4例癫痫恶化。大多数认知障碍,最常见的是短期记忆丧失,见于下丘脑错构瘤患者。短期记忆丧失一直是下丘脑错构瘤手术后最常见的并发症之一,与治疗方式无关。在总的神经系统并发症中,77.3%是短暂的,这与文献报道的LITT后不良事件很少导致永久性神经系统发病率相一致。

表2:儿科患者与LITT相关的并发症的频率和类型
值得注意的是,技术并发症占本综述报告并发症的18.2%(n=10)。这是导管放置不理想和装置技术困难的结果,导致出血和无效消融,需要再次手术。在上述研究的5例导管错位和1例装置故障中,没有一名患者出现持续的并发症。尽管如此,手术并发症的最小化将带来更有效的治疗,并减少更具侵入性的手术的必要性。
最后,作为LITT的一个已知益处,伤口感染的风险降低了,值得注意的是,儿科人群中没有感染的报告。此外,在这个队列中没有死亡作为LITT手术的直接并发症。
总体而言,纳入本综述的患者中有86%接受了LITT治疗癫痫,不良事件累积率为15.3%。癫痫患者最常见的病理是下丘脑错构瘤,占纳入系统综述的所有病例的53.1%,其次是局灶性皮质发育不良(10.2%)和结节性硬化症皮质结节(7.6%)。
癫痫手术的替代方式包括开放切除、内镜切除、立体定向放射外科和射频热凝术。
切除手术是儿童癫痫治疗中描述最多的方式,据报道其轻微神经并发症发生率为11.2%,主要神经并发症发生率为5.1%,而上述研究中总神经并发症发生率为7.3%–8.8%。神经功能缺损因部位而异,颞叶切除术后视野缺损更为普遍,而颞叶外切除术后偏瘫最为普遍。Hader等人也报告了14.3%的患者出现脑脊液漏。值得注意的是,在本综述包括的任何研究中,脑脊液漏都没有被确定为LITT的并发症。
特别是在下丘脑错构瘤中,先前描述开放切除的一系列病例报告了36%–51%的并发症发生率,包括丘脑梗死、短期记忆障碍、视觉缺陷和脑积水。该报告的并发症发生率高于LITT,在本综述中,下丘脑错构瘤患者的并发症发生率为15.2%。此外,内镜下切除下丘脑错构瘤在前面已有描述,并发症发生率为25%,短期记忆丧失发生率为13.6%;后一个数字与开放手术后报告的数字相似。就最大限度地减少记忆丧失症状而言,LITT似乎比开放切除和内镜切除都有优势,仅5例(3.1%)患者报告了记忆障碍,仅1例(0.6%)患者报告了记忆障碍。
关于SRS(立体定向放射治疗)在儿童癫痫中的具体应用的数据有限,但是SRS已被报道为治疗儿童下丘脑错构瘤的一种安全、有效的方式。LITT与SRS的益处在一项荟萃分析中得到确认,该分析检查了儿科和成人患者中药物难治性颞叶癫痫的治疗,使用LITT治疗的患者总并发症发生率为20%,而使用SRS治疗的患者总并发症发生率为32%。这些研究大多检查成人患者的SRS,儿科研究很少。在一项对27名患有下丘脑错构瘤的儿童患者进行的小型研究中,Régis等人报告说,SRS后没有神经功能缺损。虽然这项研究没有报告任何神经系统并发症,但有14.8%的短暂性癫痫发作增加率和10%的短暂性变热发生率。LITT也有诱发短暂恶化癫痫发作的风险;然而,这种情况的发生率要低得多,只有4例(2.5%)下丘脑错构瘤患者出现。还应注意的是,SRS的癫痫发作缓解存在延迟。尽管进行了这些比较,但LITT和SRS并不意味着相互竞争,事实上可以被视为互补的程序,各有利弊。
射频热凝术为下丘脑错构瘤提供了一种类似于LITT的微创方法。与LITT相反,一项主要由儿科患者组成的大型研究报告了频繁的并发症,其中最常见的是短暂性霍纳综合征(60.0%)、高进食(27.9%)和低钠血症(22.1%)。8.6%的患者出现记忆障碍。
脑瘤是我们回顾的患者中第二常见的适应症,占总病例的15.5%,并发症发生率为19.1%。这与Banerjee等人在一篇综述中报道的并发症发生率(8%-21.2%)一致,该综述主要由成人患者组成。
以前关于小儿脑肿瘤切除术的研究报告,总的并发症发生率高达69%,其中神经系统并发症的发生率为12.8%-44%。与上述综述相似,这些研究中最常见的肿瘤病理是星形细胞瘤。脑脊液漏是切除后最常见的并发症之一(7.3%)。重要的是,虽然在对LITT的综述中没有发现感染是一种并发症,但Lassen等人报告了1.8%的脑膜炎发病率,而Neervoort等人报告了21%的总感染率。其他严重并发症包括严重的神经功能缺损(2.9%)、脑梗死(1.5%)和手术相关死亡率(0.4%-0.8%)。
值得注意的是,上述综述中纳入的大多数病例被描述为位置深在或无法通过典型手术入路安全进入。当报道时,肿瘤最常位于脑室周围区域(34.2%)或丘脑(23.7%)。Lassen等人报告的病例,由于手术复杂性较高,进而手术发病率,很可能比尝试切除要低得多。
此前有报道称,使用SRS治疗儿童肿瘤有16.7%-26%的不良事件风险,同时有放射学证据显示有水肿或放射性坏死。此外,小于3岁的儿童一般不考虑SRS以避免长期的神经毒性效应和可能出现的神经认知缺陷,因为他们的大脑更容易受到辐射损伤。
只要严格注意病理及病变位置,就能使并发症最小化。导致神经症状的高热损伤可以通过在靠近功能结构的目标区域使用较低的功率以及3毫米的扩散尖端来减轻,这允许更好地控制消融。当目标病灶没有通过脑脊液或脉管系统与关键区域分开时,应进一步小心,因为这些有助于散热。对于关键区域附近的较大病变,控制消融后水肿是重中之重,可以通过分期手术或预先开始使用高剂量类固醇来减轻。
随着操作人员经验的增加,手术复杂性的进一步最小化也将随之而来。治疗路径在微创手术中起着至关重要的作用,以避免穿过脉管系统及导致脑脊液漏。对于更长的轨迹路径,可以通过使用校准路径来提高目标病变的准确性,并且可以通过结合对比增强磁共振成像使用CT血管造影来避免沿着轨迹路线的血管结构。
总的来说,最大限度地减少并发症的最重要因素是正确的患者和目标选择。这是一个广泛的话题,涉及程序的所有方面。随着我们对该技术的功能和局限性了解得越来越多,这仍然是一个不断发展的目标。
这是一名患有下丘脑错构瘤(HH)的两岁半患儿,肿瘤造成其痴笑样癫痫频发,且父母表示服用药物也无法抑制,但他们担心开颅手术会造成并发症,而且孩子年纪较小,术后护理难度更大,因此希望Rutka教授为孩子行激光间质热疗,在教授和其团队成员的努力下,患儿的脑瘤得到了极大程度的消融,术后患儿身体恢复很快、生长发育正常,而且癫痫也并未复发。

再按照手术方案设定手术入路轨迹后,插入激光探针准备消融

术中核磁共振监测下的激光消融全程热成像图

激光间质热疗(LITT)过程:(A)描绘左侧海马硬化的轴向T2加权和矢状面衰减倒置恢复(FLAIR)磁共振成像(MRI)切片。(B)通过枕骨入路沿海马长轴插入的激光探针。(C)激光消融后获得的早期T1对比增强MRI显示病变的大小。
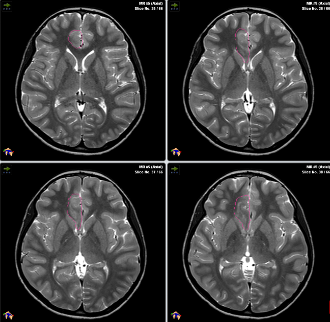
Rutka在INC中国年会上曾分享过这样一则案例:一名患有额叶癫痫的12岁男孩,伴有运动机能亢进的癫痫发作,神经成像检查结果显示:右侧额内侧下基底病变,他接受了开颅右额叶病灶切除术,病理资料显示为局灶性皮质发育不良(FCD),术后三个月无癫痫发作。

不幸的是,三个月后他的癫痫复发了,但Rutka教授不希望孩子在短时间内再次接受开颅手术,因此与患者家属深入沟通后决定为其进行激光间质热疗。
Rutka教授和他的团队正在为其手术
术后他便没有癫痫发作了,而且近期随访显示其生长发育和智力发育正常,而且癫痫并未复发。
上一篇:没有了
下一篇:没有了