脑干出血到底有多可怕?
能不能治愈吗?
我还能恢复正常人生活吗?
针对这个脑干出血患者最为关心的话题之一,INC脑瘤常见问题答疑专栏今日为您解答!

脑干出血(brainstem hemorrhage)占临床脑出血病例的10%左右,发病率虽然不高,但起病急,病情凶险,预后较差,是所有脑血管病中病死率及致残率最高,预后最差的一类脑血管病变。
脑干出血恢复效果怎样要看具体病因、出血量、治疗方式等不同而不同了。如果是原发性脑干出血,国内外几乎都是保守治疗为主,由于风险和效果,使用手术干预的往往很少,近年来国内也有一些医生尝试手术治疗,如果医生经验丰富、血肿清除及时、围手术期管理好,这样的患者也是有可能获得较为理想的恢复效果。如是脑干血管畸形如海绵状血管瘤引起的脑干出血还有可能出血吸收然后完全恢复正常,但是如果没有手术就存在反复出血、反复症状加重等危及生命,目前国际最佳的治疗效果是能手术安全全切,且无什么后遗症,那脑干出血可以得到完全好转及根治、不再复发。
脑干出血首次多为突然头痛、眩晕、呕吐、复视、眼球不同轴、侧视麻痹、交叉性瘫痪或偏瘫、四肢瘫等。大量出血(>5ml)时,血肿波及脑桥双侧基底和被盖部,患者很快进入意识障碍,甚至死亡。主要并发症有肺部感染、上消化道出血、吞咽困难和水电解质紊乱,中枢性高热、深静脉血栓形成及痫性发作等,要尽早识别并给予相应处理。一旦发生,对医生或家属而言,其治疗选择变得相当棘手。
视频解读脑干出血的危险性
从整体上看,脑干出血,可谓是挑战与机遇并存!现实中的脑干出血是一种什么样的存在?我们常听到发生这类疾病的人都是预后不良的例子,但也有幸运者。下文会重点分析两则脑干出血成功治疗的案例(一例原发性脑干出血,一例脑干海绵状血管瘤引起的脑干出血)。

脑干出血严重程度分级
如果说大脑是全身的司令部,那脑干即是司令部的总司令。脑干素有“生命禁区”之称,其中密集排列着颅神经的核团和肢体与大脑联系的上下传导束,其主要功能分区:心血管中枢和呼吸中枢;维持我们清醒的脑干上行激活系统;同时它是大脑与脊髓联络的必经之道,包括四肢的感觉与运动等。一旦受损,其后果不堪设想。
作为脑干出血、脑干海绵状血管瘤全球仅有的少数几位且最多成功手术案例的神外教授,INC世界神经外科顾问团成员、世界神经外科联合会教育委员会主席德国Helmut Bertalanffy教授(巴特朗菲教授)在其论文《Surgical Treatment for Primary Brainstem Hemorrhage to Improve Postoperative Functional Outcomes》中讨论了5例接受手术治疗的原发性脑干出血患者,以及手术治疗改善术后功能结果的能力,分析了术后1周的术后功能结果(表3)和出院后6个月的改良Rankin量表评分(表4)。结果:三名意识障碍患者的意识水平有所改善。4例偏瘫患者运动功能改善。3例中2例动眼神经功能改善。2例中2例面神经功能改善。1例患者自主呼吸改善。术后改良Rankin量表评分5例均有改善。
图片表3:术后1周的功能结果

表4:手术前和术后6个月Rankin量表评分
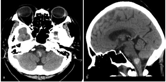
一位70岁的老人因为突然出现恶心和呕吐而被转诊到德国INI。右舌下神经麻痹导致右舌偏斜。她的血压是201/100毫米汞柱。电脑断层扫描(CT)显示右侧延髓出血

图:右侧延髓出血的电脑断层影像,(a)轴向(b)矢状面。
入院后,她出现白天呼吸抑制(每分钟呼吸10次)和夜间呼吸暂停。然后她被插管,并用呼吸机控制呼吸。MRI未发现明显的出血原因,如海绵状畸形、动静脉畸形或肿瘤。患者随后被诊断为高血压原发性延髓出血,随后通过持续静脉注射钙通道阻滞剂来降低血压。然而,病人的呼吸抑制没有改善。

图:磁共振图像显示出血没有明显的病理原因,(a)T2加权(b)T2加权。
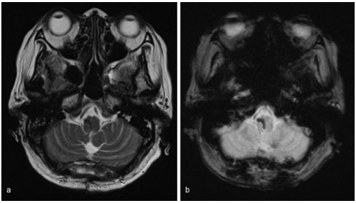
因此,她在入院后3天通过枕下中线入路以半坐位进行手术。枕下开颅术后,大脑池被打开收窄扁桃体和蚓部小舌。在右侧延髓观察到血肿,并通过冲洗清除血肿。血肿清除后,延髓肿胀减轻。术中神经生理监测(运动诱发电位和感觉诱发电位)保持不变。术中无海绵状畸形等病理学证据。术后CT显示血肿完全清除。手术后,她的自主呼吸提高到每分钟15次以上。术后第5天停止呼吸机支持,术后第6天拔管。术后5周核磁共振成像显示无结构异常。康复后,自主步行出院,没有进一步的并发症。

图:半坐位患者。在这个姿势中,臀部最大弯曲90度,腿部抬高,脚趾靠近头顶。上半身尽可能向后倾斜,头部向前弯曲

图:术中情况。(a)延髓内可见血肿。(b)血肿清除后肿胀减轻。(术中图片较为血腥,已模糊处理)

图:术后电脑断层扫描显示延髓血肿完全清除

图:术后5周磁共振成像未见结构异常。
L男士,年龄61岁,头痛、偏瘫、核间性眼震、共济失调走路不稳等,8年前因为发现脑干中脑海绵状血管瘤引起严重脑干出血、生命垂危,当地ICU住院2月保守治疗后好转,并行了脑积水分流手术,发生4次脑干出血,当地医生告知该位置病变手术风险极大、只能保守观察治疗。后得知Helmut Bertalanffy教授在脑干肿瘤手术领域的丰富经验及成功手术病例,便联系“巴教授”进行了会诊,收到教授可以安全全切手术的回复后,奔赴德国住院手术,最终摘除了脑干生命中枢的“炸弹”。

术前MR:脑干中脑巨大占位并发出血
手术结果:半坐位,正中小脑上入路,肿瘤全切历时约2小时,手术顺利

图:术中病人体位,半坐位,行幕下小脑上入路

图:肿瘤全切,入脑干切除病变的切口仅有1.1CM

术后第1天:ICU治疗观察,术后当天即拔除气管插管,可完全自主呼吸。
术后第2天:复查CT正常,转至普通病房继续治疗。
术后第3天:患者能在协助时下床、少量活动,在康复师指导下进行康复锻炼,头痛明显好转,步态不稳好转,肢体无力稍好转,无呼吸抑制、肢体瘫痪加重等手术相关并发症。
术后第10天:顺利拆线,术后12天出院,无头痛,肢体无力、步态不稳较术前明显好转。

图:术后MR显示病变全切,无脑出血、脑水肿等损伤
图:术后患者恢复好
脑干出血约占脑出血的10%。脑干出血通常局限于脑桥,仅占实质性出血的5%至9%,而这种出血在髓质中相当少见。到目前为止,关于孤立性延髓出血的预后和治疗的报道很少。血管畸形,主要是海绵状瘤和动静脉畸形(AVMs),可能是脑干出血的继发性原因。脑干出血是自发性脑出血中死亡率最高的。既往报告的死亡率在47%到80%之间。
由于脑干出血整体上预后不佳,因此治疗的传统观点:出血部位特殊,手术难度大,风险大,认为手术治疗价值有限,而偏向保守治疗,较少选择外科治疗。到底是手术,还是内科治疗?是积极,还是保守?积极,激进?...
事实上由于微创技术在神经外科的应用越来越成熟,脑干禁区的概念已经被打破,显微手术治疗部分脑干肿瘤以及血管病已经得到广泛的认同,脑干血肿的积极手术也正在慢慢地开展。
1.血肿可造成神经元、胶质细胞的机械性直接破坏,和机械性压迫,继发造成损害(机械破坏与压迫,直接占位效应);同时继发产生脑缺血;进一步可致谷氨酸释放、钙内流,线粒体衰竭;钠潴留,细胞毒性水肿,坏死;
2.凝血酶、亚铁离子、氧化血红素(血肿分解产物),造成小胶质细胞激活,自由基和、炎性因子大量释放,瀑式反应,最后造成血管源性水肿。
因此针对其损伤的主要作用来源于血肿的机械作用与血肿分解产生导致的毒性反应,在继发性损害发作前阻止它是一条有效的策略。现今的脑出血后脑水肿的治疗主要针对这个思路,对半暗带的有效保护,防止继发损伤是主要方式。但脑出血的另一风险是再出血,而侵袭性手术可能导致再出血增加,或二次损伤减少手术的收益,因此对不同的手术方式有不同的结论。
而对于脑出血指南,外科治疗的主要目标在于及时清除血肿、解除脑压迫、缓解严重颅内高压及脑疝、挽救患者生命,并尽可能降低由血肿压迫导致的继发性脑损伤。作为微创立体定向手术和内镜清除血肿手术方式在脑出血治疗中得到推荐。(参考美国AHA/ASA 2015自发性脑出血管理指南)
脑干出血发病初期的治疗及护理重点在抢救生命,在由脑海绵状血管瘤引起的继发性脑干出血中,如果有手术指证,建议积极手术。
美国AHA/ASA以及ESO等影响力较大的指南则不推荐对PBSH进行外科手术。然而单纯保守治疗无法改善患者预后,随着新的手术技术和影像技术的发展,外科手术很有可能成为能够改善患者预后的干预方式。1984年,De Pian等人收集了来自22个意大利中心的50例脑干血肿病例,并表明对慢性病例进行外科手术清除有一定价值。两个日本小组(Takahama et al.和Hara et al.)提出了立体定向抽吸术。他们发现,与保守治疗的血肿患者相比,接受手术治疗的患者有较好的功能结果。
潜在的外科手术干预指征:Tao等研究显示血肿小(5-10ml),GCS高(6-8),年龄<65岁,偏侧被盖部出血,无桥脑外扩张者或许能从手术获益。这一建议的目标患者为新PPH评分为2分的患者。Shrestha等建议手术指征为血肿量>5ml;GCS<8且进行性恶化,生命体征不稳定,尤其是需要机械通气者,血肿位置距离脑干表面1cm以内,出血24小时以内者,可考虑手术。合适的目标患者的新PPH评分为2-3。有研究显示,新PPH评分4则为手术禁忌。因此,PBSH患者进行新PPH评分为2-3分的患者,可能从手术获益。
开颅清血肿止血最为彻底,立体定向穿刺适合对开颅手术有顾虑或者年老体弱难以耐受手术的患者。内镜手术可以抵达腹侧脑干。脑室外引流建议在急诊治疗时采用。
1、开颅血肿清除术:Lan等治疗了286例严重PBSH患者(GCS≤8),其中46例实行了开颅显微镜下血肿清除术。与保守治疗相比,手术组死亡率低,预后良好率高,但植物生存、中重度残疾率也高。Ichimura等报道了5例PBSH患者手术,术后均恢复意识和运动功能。提示新的手术技术和解剖知识有助于使手术创伤更小,效果更好。
2、立体定向血肿穿刺引流:Takahama等最早开展此类手术,具有创伤小,速度快的优势。结合rtPA溶解血块,该术式能精准且快速的清除血肿。Shitamichi等报道了45例立体定向穿刺手术,患者均获得改善。Hara等报道的37例患者中,18例手术治疗者,13例(72%)获得显著改善。而19例保守治疗者,仅8例(42%)改善。3D打印穿刺导板、Rosa机器人辅助等技术也有助于提高穿刺精度,改善手术效果。
3、内镜下血肿清除术:Takimoto等最早采用内镜技术清除桥脑血肿。内镜经鼻斜坡入路(EETA)能提供腹侧脑干的清晰视野。Liu等报道了采用EETA入路清除腹侧PBSH的一例患者,术后立即恢复自主呼吸,且GCS评分在术后1月从3分提升至11分。这是目前唯一的EETA用于PBSH的病例报道。
4、脑室外引流(EVD):39.5%的PBSH破入脑室系统,导致颅内压升高以及脑积水。EVD有助于引流脑脊液和脑室内血肿。是PBSH急救的主要手段。
脑干出血的急性期治疗很重要,包括急性期防治脑水肿、并发症,包括呼吸管理的重症管理,同时强调早期康复,促进神经功能恢复。后期的昏迷促醒治疗同样重要,这需要一个长期时间,因此整体上脑干出血需要综合治疗。
对于脑干出血,除了急性期治疗外,更应强调预防,健康管理。脑干出血的二级预防主要针对患者的具体病因,如高血压、糖尿病、动脉粥样硬化、吸烟及高脂血症等有针对性地干预。同时需要行相应MR和血管检查,因为其原因除高血压外,还有一部分是因为脑干海绵状血管瘤或血管畸形可能,需要及时诊断。
脑干病变切除是外科领域难度技高风险极大的手术之一。可操作内部的空间非常小,只有手指粗细,薄如一张纸,各类神经和血管纵横交错,病变生长导致正常脊髓受压迫,病变与颈髓紧密粘连,稍有不慎都有可能出现瘫痪这种严重后果,全切病变不仅需要医生丰富的临床经验和高超的技术水平,还需要术中磁共振(iMRI)、术中神经电生理监测、术中神经导航系统等“高配”的手术设备保障手术的精准安全。因此,脑干出血等病变想要最大程度降低并发症的前提是选择一个手术经验丰富且技术高超的神经外科手术团队以及具备一系列先进术中监测设备的医院。
参考资料:
1、Bertalanffy,H.,Nakaya,M.,Mochizuki,Y.,Fukaya,R.,Moriwaki,G.,Fukuchi,M.,…Ichimura,S.(2018).Improvement of Respiratory Depression in a Patient with Primary Medullary Hemorrhage Following Removal of Hematoma in the Half-sitting Position.Journal of Neurological Surgery Part A:Central European Neurosurgery,79(02),186–190.doi:10.1055/s-0037-1615296
2、DOI:10.3389/fneur.2021.727962
3、DOI:https://doi.org/10.4414/smw.2019.20062
上一篇:手机、微波炉辐射可引发脑瘤?10大风险因素、9大早期信号你知道多少?
下一篇:没有了