“在确诊癌症的那一刻,就感觉自己的日子近了,好像就要结束了。就好像一个脚已经踏近阎王老爷那了”——一说到癌症,大家第一时间想到的就是死亡这样的字眼,主要是因为癌症这种疾病确实不像普通的感冒一样,吃点药,休息一下就会好,一旦不受控制的话,随时都会威胁到人的生命。
目前,癌症的治疗手段主要就这三个,手术、放疗、化疗。绝大部分患者,医生采取的手段是手术加放化疗。虽然现在很多人对化疗能够接受,但是仍然存在一些患者甚至还有些排斥化疗。很多人都认为,化疗没有用,它只不过是加快你的死亡速度,因此很多人会拒绝化疗。这是因为他们对于化疗的认知还不够全面,对它也存在不少的误解,尤其很多人会认为,化疗会加速死亡。
化疗,是指通过化学药物杀死快速分裂的细胞(主要针对癌细胞),达到抗癌效果的治疗方法。患者是否需要化疗,主要看病理组织的类型,如果有迹象表明癌细胞可能会转移,就需要进行化疗。
首先,说化疗会加速人的死亡,这就有点过于的耸人听闻了,因为目前为止,化疗依然是治疗癌症的重要手段之一,如果这种治疗方式真的会加速人的死亡,那么基本上也不会应用到癌症的治疗上面来了。
值得肯定的是,对于一些晚期无法进行手术治疗的患者,化疗的药物依然可以起到抑制癌细胞的生长速度。化疗时,药物会流到全身,对细胞没有识别能力,所以会“误伤”正常细胞,造成一定的副作用。这些副作用因人而异,以胃肠道、血液系统症状为主,包括恶心、呕吐、脱发、腹泻、贫血、脱皮、皮疹等,部分患者可能会出现心、肝、肾等脏器功能受损。而且癌细胞在治疗的过程中,不会坐等着你去消灭,还会以惊人的速度不断的繁殖,甚至还会有进一步扩散的风险,加上药物的一些副作用,导致患者的身体变得更加的虚弱,这也就是为什么很多人会认为,化疗会加速人的死亡。但如果患者能在化疗时注意身体变化,及时咨询医生,积极配合治疗,是能够顺利完成的。
1、呕吐,吃不下东西:在化疗的过程中,因为药物的刺激,会影响到患者的肠胃功能,那么患者经常会出现呕吐的现象,而且经常没什么食欲,总是不想吃饭。这些都是比较正常的现象,不过这些症状在出现的时候,不要忽视,因为身体长时间吸收不到足够的营养物质,那么会出现营养不良,甚至还会加重病情。可以适当的吃些清淡的食物,少吃油腻大补的食物,这样可以适当的缓解不适的症状。
2、大量的掉头发:化疗比较明显的,也是比较常见的现象就是掉头发,之所以会有这样的情况出现,主要是因为在化疗的过程中会使用到一些抗生素,这些抗生素最典型的症状就是会掉头发。不过对于这样的现象,患者也不用过于的担心,只要化疗结束之后头发还会继续的生长,毕竟比起这些副作用,不治疗的后果还是比较大的。
3、浑身感到疼痛:很多的患者在使用化疗药物的过程中会出现身上疼痛的现象,其实一部分的原因是药物的影响,还有一部分的原因是癌细胞在入侵身体的各个机能组织,疼痛可以在身体的任何部位出现。当出现这样的症状时,患者也不要一味地忍者,可以适当地进行按摩或者转移注意力的方式,如果实在难以忍受,还可以适当地服用止疼药来缓解,以免影响到正常的生活。
4、经常出现高烧:发烧这样的现象,放在健康的人身上是比较正常的,主要是因为体内有炎症,引发免疫系统的工作,只要及时进行用药,过个三五天也就慢慢的好了。不过如果是正在接受化疗的患者经常出现的现象,并且还经常是高烧,那么就要重视起来了,主要是因为调节体温的中枢神经长期受到药物刺激的反应。如果经常出现这样还是不能忽视的,最好及时进行一些退烧药来控制体温,一旦长时间没有得到缓解的话,不仅会影响到大脑的健康,还会导致免疫力不断的下降,从而加重病情。
因此,癌症患者在进行化疗治疗的话,其实它多带来的利弊都是要提前知晓的,因为一旦出现认知错误的话,会间接影响到治疗的效果。
对于化疗,患者最担心的还是这些副作用。“呕吐和脱发真的太折磨人了!”这是很多化疗患者的共同心声。但医生在剂量使用、药物选择搭配、药物顺序上在保证治疗效果的基础上都会尽量把毒副作用降到最低,使患者能够耐受。而对于因为化疗引起的呕吐、便秘、骨髓抑制等常见副作用,医生们也会对症给予治疗。
现在也存在把化疗副作用放大的说法,其实并不是所有人化疗都会掉头发。副作用有的人轻一些有的人重一些,千万别因为别人有这样的例子就拒绝化疗。随着医学的发展,化疗的副作用已经没有以前那么可怕了。化疗药物得到改进,还可以配合减轻副作用的药物。在某些情况下,只要在化疗前后做好预防,其严重感染的风险也能大大降低。
目前来说,化疗依然是抗癌的主要手段之一,在癌症治疗中发挥着巨大作用,挽救无数患者的生命。我们应该理性看待化疗,充分了解化疗,配合治疗方案并积极跟医生反馈,让化疗进行得安全且有效。
你可能会发现一个奇怪的现象:有人在抗癌后活很久,有人却在几个月,甚至几天内就去世。为什么会这样呢?原因跟肿瘤病理类型、发病位置、恶性程度、分期、化疗敏感性和是否正确及时的治疗方案等因素有关。
1、恶性程度:可以说肿瘤病理类型、发病位置及其播散位置决定了肿瘤的恶性程度。如果是良性的,治疗效果肯定比恶性肿瘤好。而同样是恶性肿瘤,有些属于惰性,生长比较慢,不易转移,治疗效果比较好;有些发展速度快,很多治疗手段效果都不好,预后较差、生存率低,例如胰腺癌、肝癌、胆管癌、胆囊癌等。

2、分期:通俗来说,癌症可分成早期、中期和晚期,发现越早,治愈率就越高。例如肺癌、乳腺癌、甲状腺癌、前列腺癌和结肠癌等,早期及时干预,其治愈率可达90%以上。如果晚期才发现,出现广泛转移,多数患者的生存期不太乐观,尤其是食管癌、肝癌、肠癌、胃癌、胰腺癌、卵巢癌等,许多患者发现时已是晚期,错过最佳治疗时机。另外脑瘤患者一旦诊断出最高级别,如胶质母细胞瘤,即使积极治疗,可能预后也会极差,中位生存期仅15-27个月左右。
3、治疗敏感性:有些癌症对放化疗、靶向治疗等非手术治疗的敏感性很高,通常只要跟着方案进行,就能达到预期的治疗效果。这类癌症患者的生存期会比较长。
4、心态:患者的心态、情绪与癌症的预后、治疗效果和康复情况都有很大的关系。心态乐观,积极配合医生治疗的患者,其治疗、康复效果相对可观,这一点已被多项研究证实。
临床上,十个病人里就有1、2个拒绝化疗,认为人做了化疗会垮掉!医院里常会遇到拒绝化疗的患者。其实做到化疗的规范合理应用,化疗没那么可怕。
做好肿瘤化疗规范化管理,要严格执行化疗准入制度。由于一种癌症往往涉及多个交叉科室,但并不是所有医生拿到一个方案就能进行化疗的。抓好科室准入很关键,原则上只有肿瘤内科才可以做化疗,其他科室如果施行化疗,一定要请肿瘤内科的医生会诊再做。
第二个就是化疗人员的准入要规范。一个患者的化疗方案涉及很多专业医学知识,临床上医生要采用单药或者多药联合治疗,需考虑药物的作用机制、药代动力学、肿瘤生物学特点以及患者的临床特点,在这些基础上根据不同的治疗目的,把握用药时机,合理选择药物的组合、剂量和疗程。如果是根治化疗剂量上选择要用足,也就是剂量强度要用到位,用药节奏要踩对。如果是姑息治疗的话剂量就不能太猛,患者身体会受不了,反而降低生活质量。在用药顺序上,先用哪个后用那个、用药间隔等等都有讲究。化疗做到规范合理使用,患者才能最大化受益。
目前,对于脑瘤尤其是胶质瘤的治疗,主要以美国NCCN(美国国立综合癌症网络)和欧洲EANO(欧洲神经肿瘤协会)最新发布的治疗指南为参照标准,2019年3月,中国卫健委首部《脑胶质瘤诊疗规范(2018年)》正式发布,也可成为患者可参考的权威标准。这些规范治疗指南经各种临床实践证实,尤其是美国NCCN每年都有大量的临床数据支撑以及相关研究更新,极具临床指导意义。
关于脑胶质瘤,美国NCCN、欧洲EANO、中国等国际治疗规范指南均指出,脑胶质瘤应以手术切除为主,结合放疗、化疗等综合治疗方法。颅内肿瘤引起的物理占位效应,只有手术切除才是最直接、有效的解除手段,目前手术已经越来越微创化,各种术中神经导航/术中核磁/术中神经电生理检测技术发展,开颅手术在显微手术时代准确性、安全性、有效性越来越高。

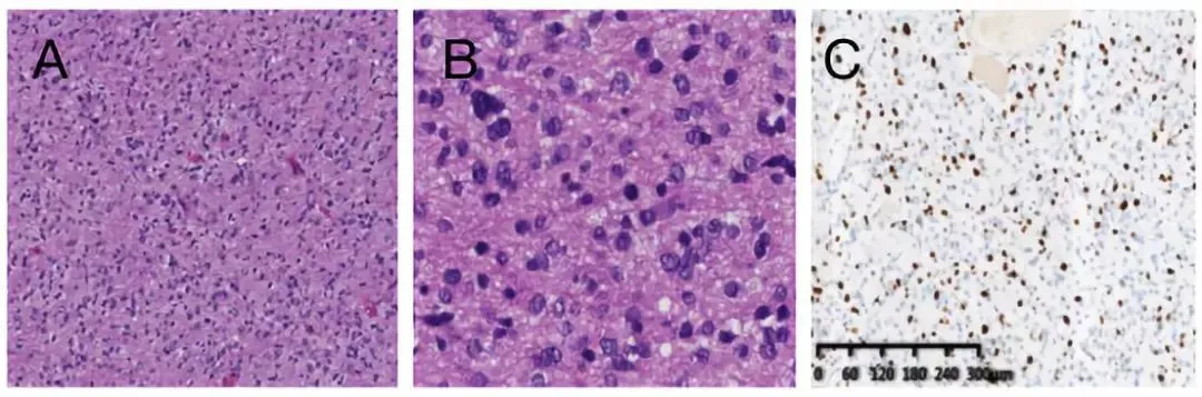
最近,研究人员在新英格兰杂志发文,报告了一个3岁男孩的病例,他因为持续2至3周的呕吐、过度嗜睡和外斜视被送到急诊科,呈昏迷状态。头部磁共振成像(MRI)显示患者左脑半球有一个大肿瘤。由于出现了威胁到生命的颅内出血,两次手术的尝试都停止了,只做了部分切除。医生也尝试了新的辅助化疗。然而,在再次发生颅内出血事件后,进一步干预被认为是徒劳的。医疗机构作出了放弃治疗的建议,并开始采取安慰措施。出乎意料的是,尽管撤去了生命支持系统,但患者的呼吸和生命体征都恢复正常。
对该患者的神经病理评估显示,这是一个对ALK有弥漫性免疫反应的高等级星形细胞肿瘤。甲基化分析证实该肿瘤属于小儿半球形胶质瘤,RNA测序显示SPECC1L-ALK融合。
考虑到患者的临床状况和ALK融合的发现,根据成人非小细胞肺癌颅内反应的良好数据,医生们选择了洛拉替尼作为治疗手段。在征得患者父母的知情同意后,开始用鼻胃管递送洛拉替尼进行治疗,剂量为每平方米体表面积95毫克,每天一次(该剂量来源于小儿难治性神经母细胞瘤队列)。

对洛拉替尼的反应情况
令人惊喜的是,治疗之后,患者开始康复,随着肿瘤的缩小,他的神经功能也稳步恢复。治疗8个月后,MRI显示肿瘤已被囊性结构所取代,仅剩少量残余肿瘤。医生们进行了探查性手术以清理空腔。术前、术中和术后都进行了药代动力学研究。对血液、脑脊液和肿瘤组织的样本进行了分析。最终手术实现了大体上的完全切除,分析显示肿瘤中的洛拉替尼浓度与血浆中的浓度相似。
比较洛拉替尼治疗前后的组织学发现,肿瘤的增殖指数明显下降,这一发现与药物引起的反应一致。重复RNA测序检测到SPECC1L-ALK融合,尽管等位基因频率很低。
在患者手术后的MRI上没有看到肿瘤,于是治疗停止。然而,6个月后,患者出现面瘫,并在颅神经VII、第三脑室内和脊柱上发现了新的转移病灶。医生们决定恢复洛拉替尼的治疗,剂量为每平方米95毫克,每天口服一次,患者再次出现了快速反应。瘫痪在恢复治疗后的一周内得到解决,1个月后的随访MRI显示所有病变对治疗的反应接近完全。
目前,该病人继续接受洛拉替尼治疗,并参加学前教育,没有任何明显的神经功能障碍或手术并发症。不良反应仅限于体重增加和高胆固醇血症。考虑到患者的年龄较小以及最近的复发,医生们计划在没有任何严重副作用的情况下继续治疗,只要疾病仍然得到控制,这样就可以避免或推迟更多破坏性的化疗或放疗。
总而言之,虽然癌症是一种可怕的疾病,但是有效的治疗方式也是很多的,只要及时规范的治疗策略,很多患者的病情还是能得到有效的控制、尽可能延长生存期。
参考资料:
1.Lorlatinib in a Child with ALK-Fusion–Positive High-Grade Glioma.N England J Med(2021)385;8
2.化疗是“杀敌一万自损八千”?搞清楚这4个问题!.健康时报,2020-04-08