开颅手术,很多脑瘤患者乍一听都接受不了,脑袋上“动刀”不可谓不“凶险”——毕竟100年前,这种手术的死亡率高达90%。尽管在医学进步飞速发展的今天,开颅手术死亡率逐渐降到5%以下,但一些可怕的术后并发症如颅内出血、脑水肿、窒息和呼吸功能障碍、切口或颅内感染等时有可能发生,尤其是对于还处于发育生长的儿童及青少年患者,开颅手术的各种潜在风险无不困恼着家长。
那么有没有无需开颅的手术技术可以轻松“摘除”脑瘤呢?近几年一种磁共振MRI引导的激光间质热疗(LITT)问世,且应用愈加广泛,其使用立体定向技术,可以将纤细的激光光纤直接植入颅内病灶的核心,并使用激光热能破坏病灶,达到类似于手术切除的效果。
LITT激光间质热疗原理示意,其对很多传统需要开颅手术的神经外科疾病,如胶质瘤、转移瘤、放射性脑坏死、药物难治性癫痫等,都有一定的优势:比如创伤小,治疗效率高,对病灶周围的皮层破坏小,精准度高,大多数患者可以在治疗后第二天出院回家。
这种微创不开颅的手术新技术在成人当中已经有较多的临床验证,同样也适用于儿童脑瘤患者吗?答案是肯定的,目前有很多临床研究得出结论:LITT提供了一种治疗小儿脑部病变的微创选择,否则将需要开颅手术,并可能伴有与相关的严重并发症。INC旗下世界神经外科顾问团(WANG)专家成员、世界神经外科学院前主席James Rutka教授为帮脑瘤患者尤其是儿童患者争取更佳预后,会根据患者自身情况为其提供这个国际前沿的微创治疗之选。

激光间质热疗LITT后统计的肿瘤体积变化图
16岁女孩,双侧丘脑病变、低级别胶质瘤复发,4年间肿瘤增大,考虑到肿瘤的深部位置,医生建议进行MRI引导的立体定向方法,并进行活检,然后对病变进行激光消融。活检后,将激光纤维置于病灶中央,进行了两次热消融(31秒11 W和30秒10 W)。消融后MRI显示丘脑病变周围出现充血环,这是这些病变消融后的预期外观。没有与手术相关的并发症,患者第二天出院。病理学符合二级室管膜瘤。肿瘤在三个月和六个月时体积缩小了大约70%,并且在消融后一年几乎看不到。两年后肿瘤未复发,也未进行其他辅助治疗。

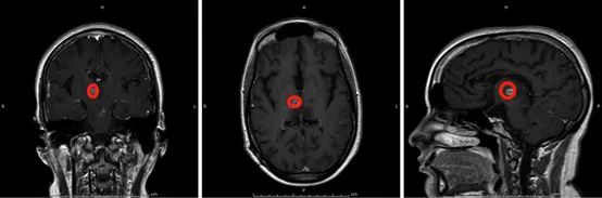
术前脑部磁共振成像MRI显示右侧丘脑增强肿瘤

术中磁共振成像MRI。(A)目标区域/位置的确认;(B)实时温度:最终图像;(C)损坏模型:2.5毫米x 9.5毫米;(D)钆消融后立即T1-MRI。

消融后3个月的磁共振成像MRI,肿瘤体积缩小了70%

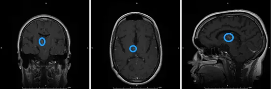
消融后9个月的磁共振成像MRI

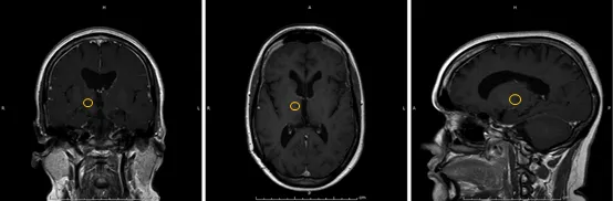
消融后1年的磁共振成像MRI,几乎看不到肿瘤
2021年一篇发表在世界权威神外杂志World Neurosurgery(2021年影响因子2.104)的论文《Clinical and Neuroimaging Features of Magnetic ResonanceGuided Stereotactic Laser Ablation for Newly Diagnosed and Recurrent Pediatric Brain Tumors:A Single Institutional Series》公布了他们的激光间质热疗LITT技术治疗17名新诊断和复发性小儿脑瘤的临床结果:患者的术后平均住院时间为1.5天,激光间质热疗LITT治疗后肿瘤与基线相比的收缩范围为33%-100%(平均75%)。在5名毛细胞星形细胞瘤、神经节胶质瘤、其他低级别胶质瘤、胶质母细胞瘤、脑膜瘤、髓母细胞瘤等患者中,低级别胶质瘤患者的预后表现最好。

激光间质热疗LITT治疗前后对比:所有层面都是轴位T1增强后图像,除了图I,轴位FLAIR序列肿瘤在消融前没有增强。
·神经节胶质瘤患者预消融(A),在她第一次LITT治疗(B),第一次LITT治疗后6个月和第二次LITT治疗后3个月(C),第一次LITT治疗后25个月和第二次LITT治疗后22个月(D)。
·脑膜瘤患者预消融(E),LITT治疗(F)、LITT治疗后4个月(G)和LITT治疗后10个月(H)。
·低级别胶质瘤预消融轴向FLAIR图像(I),LITT治疗后轴向T1增强后图像(J),LITT治疗后4个月(K),和LITT治疗后21个月(L)。
·轴位髓母细胞瘤患者LITT治疗前(M)、LITT治疗(N)、LITT治疗后1个月(O)和4LITT治疗后数月(P)显示进展。

患者消融前的磁共振成像(MRI)(A),使用ROSA软件与轴位T1对比后图像(B)配准的轨迹规划成像,与轴位联合配准的消融内热成像T2图像(C)和6个月消融后轴位FLAIR核磁共振成像(D)。
虽然到目前为止,使用LITT治疗小儿脑肿瘤已显示出有希望的结果,但还需要进一步研究以进一步了解长期结果并将这种治疗与其他治疗策略进行比较。
总而言之,LITT是具有广泛应用前景的微创治疗颅内病变的新方法。目前,在世界上的超过100家知名的神经外科专业研究机构,LITT技术都正在得到越来越成熟的应用,比如James T.Rutka教授所在的世界水平儿童医院之一加拿大多伦多大学儿童医院SickKids,该医院是较早一批拥有完整LITT疗法设备的儿童医院,其所采用的是Monteris Neuroblate®系统,Rutka教授和他的团队成员已能熟练运用这一微创技术治疗小儿脑瘤和癫痫。
对于LITT技术的运用,Rutka教授还曾总结了这项技术的三个关键要素:立体定向方法,将激光探针精确定位在治疗目标内;手术激光系统随时间变化的热组织消融;MRI热像仪可实时监测温度变化和组织破坏。

Rutka教授在INC年会上展示的LITT相关文献资料
INC之加拿大James T.Rutka教授介绍
应对小儿脑瘤,世界上许多像Rutka教授一样的神经外科专家正在努力,致力于研究各种对患者伤害性更小、风险更低、效果更好的新技术新疗法,LITT技术即是其中的一种,相信目前随着临床应用的深入,使用LITT技术的患儿还可获得更好的临床治疗效果。当家有脑瘤患儿,咨询国内外不同儿童脑瘤专家的第二诊疗意见,选择个性化的综合治疗策略,可使患儿更大受益。